View Megaloblastic Anemia Bone Marrow Aspirate Pictures

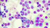
View Megaloblastic Anemia Bone Marrow Aspirate Pictures. Hoffman r, benz ej jr, silberstein le, heslop he, weitz ji, anastasi j. Bone marrow core biopsy and aspirate show hypercellular marrow with erythroid hyperplasia:

Concomitant megaloblastic anemia and myelodysplastic ...
Concomitant megaloblastic anemia and myelodysplastic ... from www.idoriums.com
Megaloblastic anemias are a group of disorders characterized by reduced dna synthesis (not just in. A sample of the bone marrow aspirate is also studied for more detailed characteristics such as the presence or absence of abnormal numbers or types of chromosomes (dna) by what is called cytogenetic testing. Other molecular testing may be done on the marrow sample as well.

One of the most common types of macrocytic anemia is megaloblastic macrocytic anemia.

In most cases, megaloblastic anemia develops slowly and affected individuals may remain without any apparent symptoms (asymptomatic) for many. This leads to abnormal nuclear maturation of the hematopoietic cells and ineffective erythropoiesis. The aspirated marrow is often hypercellular with striking. In a person with megablastosis, the red red blood cells are manufactured in the bone marrow from hematopoietic stem cells.

Posting Komentar

Lebih baru Lebih lama