View Cancer In Lymph Nodes In Chest Cavity PNG

View Cancer In Lymph Nodes In Chest Cavity PNG. Hodgkin disease can affect lymph nodes inside the chest, and the swelling of these nodes. Cancer spreading to your lymph nodes may require additional treatment to prevent its progression.

Puppy Up Foundation | Thymoma in Cats & Dogs - An ...
Puppy Up Foundation | Thymoma in Cats & Dogs - An ... from www.puppyup.org
Find out when you should see a doctor and how in this article. Swelling in the lymph nodes in the middle of the chest. Remove lymph nodes that may contain cancer.

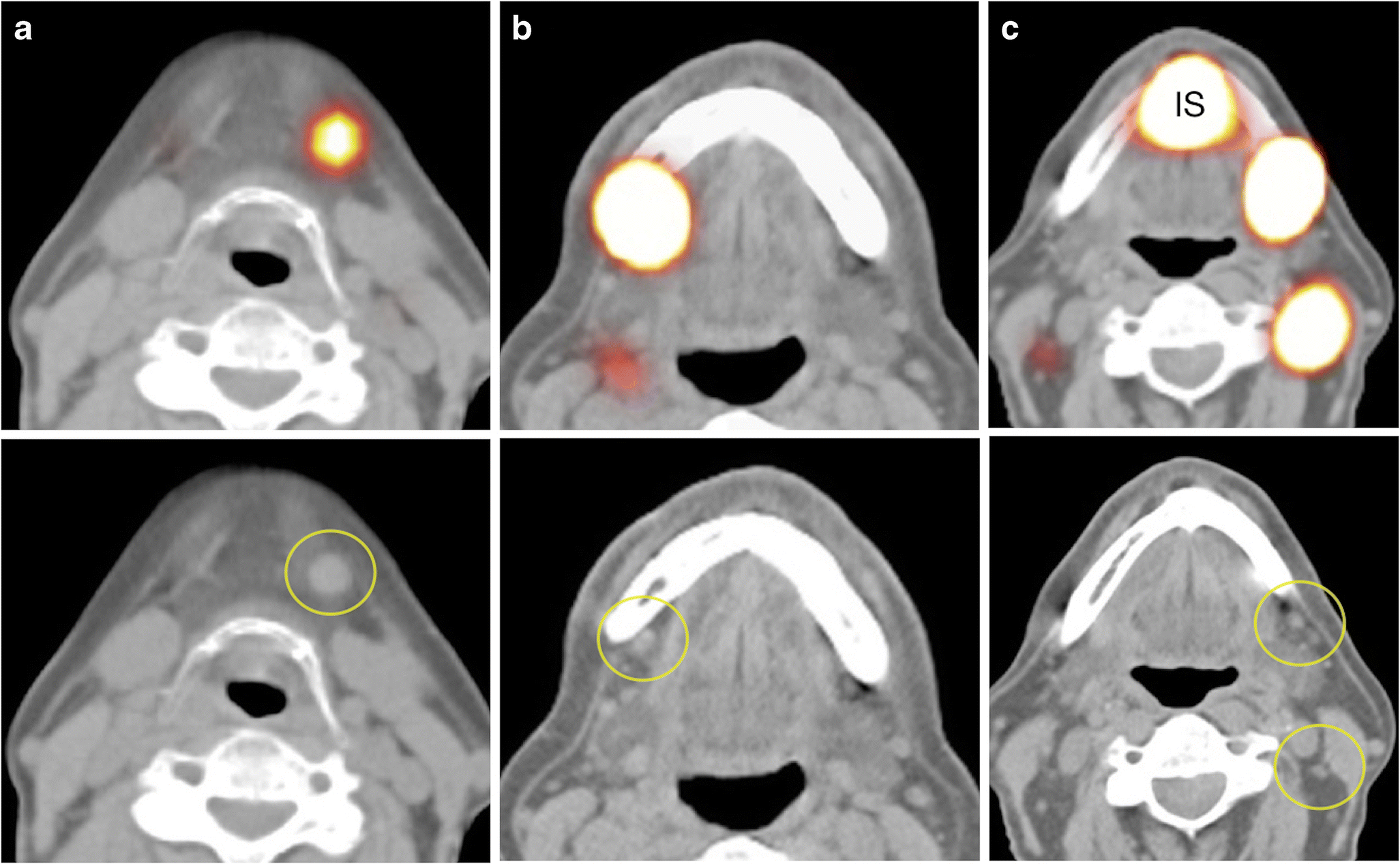
Sentinel lymph node biopsy has been very well established for melanoma and breast cancer treatment.

Lymph nodes are located all over the body and the nodes that are most easily palpated the other important lymph nodes are situated in the chest (mediastinal), abdomen. Invasion of the tumor into areas of the vertebrae. A lymph node dissection is done to: Symptoms of lung cancer may be related to the local effects of the tumor in the lung or spread of disease beyond the chest.

Posting Komentar

Lebih baru Lebih lama